Archivio corsi

Tipologia corso: Percorso formativo in presenza Scopri le date

Serate culturali bergamasche: approfondimenti clinici

Sei incontri ad alto valore formativo per apprendere le ultime novità nel campo dell'implantologia e della rigenerativa.

Evento organizzato da INTERCONTACT con il contributo non condizionante di Revello Spa, MIS Implants, De Ore, W&H, 3Shape, Gcomm.
 

Tipologia corso: Incontro in presenza Scopri le date

Implantoprotesi biconometrica

Gli strumenti utilizzati possono fare la differenza, quando si parla di riabilitazioni implantoprotesiche. Nel complesso panorama merceologico attuale, l’adozione di certi protocolli clinici deve essere il frutto di una ricerca ragionata, non di una fascinazione. La conometria vera, rappresenta oggi un nuovo standard qualitativo. Le sfide moderne, chirurgiche e protesiche, richiedono comprensione delle caratteristiche dei prodotti utilizzati e la loro corretta applicazione. Questa full-immersion è un percorso razionale condensato, che abbraccia la clinica, la meccanica, la biologia. Il partecipante è accompagnato nella formazione di un pensieri critico implanto-protesico e del know-how.

In collaborazione con AON Implants.

Tipologia corso: Corso in presenza 24 febbraio 2024

La moderna rigenerativa ossea tridimensionale

La rigenerativa ossea tridimensionale, rappresenta oggi una realtà concreta e riproducibile. Conoscere le tecniche e i metodi si rende quindi, una necessità nella moderna odontoiatria implantare.

Tipologia corso: Percorso formativo in presenza Scopri le date

Essentials in implantology - Corso annuale teorico pratico di implantologia e implanto protesi

Cinque incontri, per iniziare il percorso di apprendimento della chirurgia implantare con particolare riguardo alla pianificazione guidata.

Corso organizzato da MV Congressi con il contributo non condizionante di Revello Spa e MIS Implants.
 

Tipologia corso: Corso in presenza 15 febbraio 2024

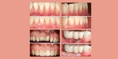
Tecniche semplificate per la copertura di recessioni su denti e impianti

La copertura di recessioni su denti e impianti è un’esigenza frequente, ma si rivela spesso un argomento spinoso e complesso da gestire, per questo è considerata una tappa fondamentale per la formazione odontoiatrica dei giovani professionisti.

Avete mai avuto dubbi sui protocolli da applicare per un intervento di chirurgia parodontale? Vi siete mai trovati di fronte a piccole ma antiestetiche recessioni su impianti che i vostri pazienti avevano la necessità di ricoprire? Volete avere la possibilità di far pratica con dei simulatori personalizzati?
 
Corso organizzato da Eventually Meetings & Events e Young2Young con il contributo non condizionante di Revello Spa e Mis Implants.

Tipologia corso: Percorso formativo in presenza 18 gennaio 2024

Chirurgia implantare guidata su cadavere con dissezione anatomica e rigenerazione tissutale

La conoscenza delle strutture anatomiche è alla base della chirurgia implantare e ricostruttiva del cavo orale. Questo corso teorico-pratico ha come finalità non solo la conoscenza e l’isolamento delle strutture di interesse per l’implantologo ma anche di fare prendere dimestichezza ai corsisti della componentistica implantare chirurgica e protesica. I responsabili scientifici e i tutor illustreranno, con l’ausilio di video e casi clinici, la parte teorica in preparazione all’attività pratica sui preparati anatomici e saranno a disposizione durante le fasi operative per guidare i corsisti passo-passo nelle procedure. Particolare attenzione verrà data alla chirurgia guidata, sia dal punto di vista teorico, con la progettazione del caso chirurgico a software, sia pratico. Caratteristica unica di questo corso è la possibilità di eseguire un intervento di posizionamento implantare guidato grazie all’utilizzo di dime chirurgiche personalizzate per ogni preparato anatomico. Infine, ampio spazio verrà dato alla passivazione dei lembi e alle tecniche di fissaggio delle membrane per la chirurgia rigenerativa.

Corso organizzato da ICLO con il contributo non condizionante di Revello Spa.

Tipologia corso: Corso in presenza 01 dicembre 2023

Ricostruzione dei tessuti duri per la terapia implantare e trattamento delle malattie peri-implantari

Il Dott. Cortellini discuterà con i partecipanti la sua filosofia di approccio fondata sulla conoscenza dell’anatomia e della biologia dei tessuti molli e duri per condividere e approfondire le sue metodiche di “chirurgia biologicamente guidata”. Lembi a spessore totale e parziale, innesti, l’uso di matrici o di altri biomateriali saranno gli argomenti principali, accompagnati dalla discussione delle tecniche di incisione e sutura con approccio minimamente invasivo. Corso organizzato da De Ore con il contributo di Revello

Tipologia corso: Incontro in presenza Scopri le date

Tecnologie digitali applicate all’odontoiatria: illusione o realtà

L’incontro vorrà trasmettere il valore dei sistemi digitali applicati all’odontoiatria, partendo dalla diagnosi, passando per il piano di trattamento per arrivare alla chirurgia guidata.

In collaborazione con Mis Implants.

Cerca per:

In evidenza

Revello - Valori e Competenze per il dentale