Risultati di ricerca

Argomento: Digital workflow
12 maggio 2021

Nuova direttiva radioprotezione: i Livelli Diagnostici di Riferimento

Focus sui Livelli Diagnostici di Riferimento: a partire da definizione e scopo specifico di tale grandezza, fino ai documenti dove vengono stabiliti tali livelli.

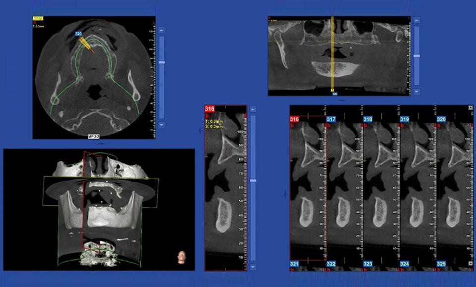
07 maggio 2021

Diagnostica Cone Beam CT: NewTom ancora leader dell’innovazione

Con l’introduzione del NewTom 7G, l’azienda dimostra uno spiccato orientamento al miglioramento e all’innovazione continua nella diagnostica.

13 aprile 2021

Cone-Beam 3D sbagliate: come è possibile evitarle?

Secondo una recente indagine, le due principali cause di riesecuzione dell’esame Cone-Beam sono FOV inadeguato e Artefatti da Movimento. Vediamo come è possibile ridurle drasticamente.

10 marzo 2021

Nuova direttiva radioprotezione: il registro delle esposizioni radiologiche

In questo articolo analizzeremo uno dei punti enfatizzati dalla nuova Direttiva Europea Euratom 2013/59: il registro delle esposizioni radiologiche.

17 febbraio 2021

Scanner Intraorale: un nuovo paradigma scorre sul flusso digitale

Lo scanner ottico intraorale è l’ultimo dispositivo che è entrato a fare parte delle tecnologie presenti nello studio odontoiatrico, ma il suo impatto è già molto significativo.

10 febbraio 2021

Cone Beam 3D: un insostituibile alleato per lo studio odontoiatrico

Le apparecchiature Cone Beam 3D (o Cone-Beam CT) si stanno diffondendo sempre di più negli studi odontoiatrici, portando notevoli benefici.

12 novembre 2020

Cone-Beam 3D e piano di trattamento: i nuovi percorsi

Dalla 2D alla diagnostica 3D, imparare a dimenticare una visione diagnostica e apprenderne un’altra. L'esperienza di Daniele Benedetti Forastieri e del nostro Daniele Godi, apparsa sulla testata Odontoiatria33.

10 novembre 2020

Nuova direttiva radioprotezione: chi è il RIR

Nel precedente articolo abbiamo parlato del Decreto Legislativo n. 101 approvato il 31/07/2020 che adotta la direttiva europea Euratom 2013/59 e abroga e sostituisce tutti i provvedimenti di legge esistenti - Parte 2 

26 ottobre 2020

Nuova direttiva radioprotezione e implicazioni in ambito odontoiatrico

Approvato il Decreto Legislativo che adotta la direttiva europea Euratom 2013/59 e abroga e sostituisce i provvedimenti di legge esistenti sulla protezione dalle radiazioni – Parte 1

22 settembre 2020

Ecco perché adottare lo scanner 3D è la scelta più giusta per il tuo Studio

In odontoiatria il versante tecnologico ricopre un’importanza sempre maggiore: le tecnologie 3D sono sempre più in grado di semplificare in maniera significativa la riabilitazione clinica di un paziente.

Revello - Valori e Competenze per il dentale