Cone-Beam 3D e piano di trattamento: i nuovi percorsi

12 novembre 2020
Cone-Beam 3D
Oggi è possibile indurre un profondo cambiamento nei processi di valutazione della componente di difficoltà e di rischio di un caso, attraverso l’apprendimento della lettura dei dati 3D.
A causa del pluridecennale utilizzo di esami 2D, accade che un esame RX endorale (o una OPT), generino una diagnosi istintiva e iniziale, cioè “veloce”, che ne avvalora l’obiettività.
Successivamente, la valutazione dello stesso caso con un dato 3D induce cambiamenti di diagnosi, e quindi di terapia, con un procedimento mentale che è “lento” perché dovuto a un’analisi di una quantità di dati maggiore.
Con la formazione e l’esperienza, il procedimento “lento” diventa gradualmente “veloce”, perché l’esame 2D viene sminuito di valore dai nuovi sistemi di valutazione dei dati 3D.
E ci troviamo a fare pensieri “veloci” basati su dati che prima richiedevano tempo per essere elaborati dal nostro sistema cognitivo.
Vediamo un caso di un riabilitazione totale superiore su 8 impianti con carico immediato sviluppato partendo dalla Cone-Beam 3D NewTom GiANO HR Professional.  

Pensieri lenti e pensieri veloci

Il libro “Pensieri lenti e pensieri veloci” del 2012, scritto dallo psicologo Daniel Kahneman che ha ricevuto l’onore di un Nobel nel 2002 per l’economia, spiega chiaramente quali sono e come funzionano i due fondamentali meccanismi che la mente umana segue durante i processi decisionali. Da una parte il fast thinking cioè l’intuito, il pensiero immediato. Dall’altra lo slow thinking cioè la logica, la scelta meditata. Kahneman compone una mappa completa della struttura e delle modalità di funzionamento del pensiero, fornendo fondamentali suggerimenti per contrastare i meccanismi mentali “veloci”, che più probabilmente ci portano a sbagliare, e sollecitare quelli “lenti” che ci aiutano a ragionare.  

Introduzione

Al di là dello stupore che una tecnologia così innovativa genera in chi la scopre, certamente la categoria odontoiatrica vive da almeno 10 anni la possibilità di cambiare totalmente approccio verso molti dei casi che comportano rischi operativi e la necessità di conoscere correttamente l’anatomia di siti anatomicamente complessi.
Vantaggi indubbi derivano dalla conoscenza del razionale che c’è dentro la macchina.
Chiacchiero con uno dei quattro personaggi che hanno cambiato le cose dalla iniziale tomografia a tomografia con raggio conico. Coautore di questo articolo, mi racconta: “Nella mia attività di formatore ho accompagnato centinaia di odontoiatri dalla diagnostica 2D alla diagnostica 3D, e il punto critico da superare non è mai stato il software o la complessità del dispositivo, ma il dimenticare una visione diagnostica e apprenderne un’altra".
Il primo passo di questo percorso consiste nel valutare l’anatomia, che per formazione e storicità è percepita in due dimensioni, nelle sue reali 3 dimensioni, aiutati da rendering 3D che ci permettono di collocare nello spazio le sezioni del volume ottenute dal software.
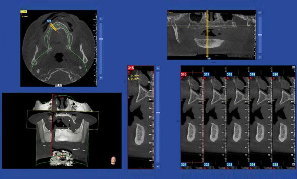
I tagli sono, infatti, lo strumento d’elezione per esplorare il volume acquisito e per effettuare misure accurate e certe.

Questo “salto” concettuale ha consentito alla nostra categoria di poter vedere immagini limpide e di facile interpretazione e, inoltre, possiamo tenere nei nostri ambulatori direttamente il macchinario scegliendo quali pazienti esaminare nel rispetto delle norme e di principi semplici e chiari. Ma discuteremo in questo lavoro soprattutto di come la lettura dell’esame cambi i meccanismi dell’analisi che, attraverso percorsi quasi inconsci, riusciamo a sviluppare riguardo a situazioni prima inquadrate con ottica diversa.
Il primo passaggio dato dalla disponibilità dei dati Cone Beam, e che dobbiamo necessariamente fare, è quello di valutare un individuo, che nella nostra mente “esiste” in 2 dimensioni quasi sempre come conseguenza della formazione accademica, nelle sue reali 3 dimensioni. Nessuno strumento può restituirci questo punto di vista più di un volume che possiamo sezionare come vogliamo, inizialmente magari orientandoci con i rendering.

Sapendo con certezza che un rendering non è un dato sul quale fare misurazioni: queste, infatti, vanno calcolate esclusivamente sulle ricostruzioni multiplanari. La conseguente esperienza acquisita ha cambiato profondamente il mio approccio verso la grande maggioranza dei casi che valuto e che, attraverso la comprensione e l’uso di questi dati, hanno un’asticella di difficoltà che si è progressivamente alzata sempre più. Questo spostamento in alto dei limiti non è controbilanciato dalla riduzione del coefficiente di rischio finale. Infatti, interventi prima neanche immaginabili oggi sono possibili. Quindi comunque alziamo anche l’asticella del rischio. Ciò sempre al fine di risolvere situazioni che per un paziente fanno la differenza tra una soluzione ad alto valore di confort post-operatorio, qualità della vita a guarigione avvenuta e fattibilità. Esiste anche un aspetto rilevante legato al fatto che possiamo trattare più pazienti.  

Principi generali da rispettare quando si pone la scelta se avere o non avere un esame 3D

  • ALARA: As Low As Reasonably Achievable cioè “Il Più Basso Ragionevolmente Realizzabile”
  • Principio di Giustificazione
  • Principio di Ottimizzazione
Affrontare casi chirurgicamente complessi, ma anche endodontici od ortodontici, valutando immagini 3D anziché 2D consente di individuare con “consapevolezza pre-operatoria” situazioni insidiose altrimenti evidenti solo “intra-operatoriamente” e non sempre. E tra l’altro, in un’alta percentuale di casi alcune insidie non si palesano che a danno già verificatosi.
Semplifichiamo con un esempio: quando un paziente si presenta con un ottavo che ha le radici in un rapporto di contiguità con il canale mandibolare, iniziamo cercando di capire:
  • se gli apici sono separati dal nervo da uno strato di corticale o no;
  • se il canale si trova spazialmente in posizione mediale, laterale o centrale;
  • se è preferibile una ostetomia sonica a una rotante;
  • dove eseguire l’osteotomia e/o l’eventuale sezione del dente;
  • come non danneggiare il settimo con le precedenti manovre di dissezione;
  • da che lato l’uso di leve per la lussazione e l’avulsione può essere scevro da rischi;
  • quanto è alta la componente di rischio per decidere se affrontare o demandare il caso;
  • come redigere un consenso informato corretto e rispettoso del paziente evitando contenziosi;
  • che valore dare alla nostra prestazione in funzione del rischio e del tempo necessario.  
Questo genere di considerazioni va esteso:
  • a denti che hanno apici in contiguità con il pavimento del seno mascellare;
  • a denti che hanno rarefazioni periradicolari celate dalle radici stesse;
  • a lesioni endodontiche o parodontali che hanno coinvolto la membrana di Schneider;
  • a denti ritenuti che richiedono estrazione o ancoraggio ortodontico;
  • alla valutazione di corticali sottili o assenti nei casi di affollamento come parametro dirimente tra estrarre o non estrarre uno o più denti.  
In realtà il numero di casi per i quali i dati 3D sono sempre più necessari cresce man mano che acquisiamo conoscenza. Naturalmente l’esame volumetrico non risolve da solo un caso semplice o complesso. Inoltre deve essere eseguito correttamente, sarebbe necessario avere una macchina che abbia una esposizione con poca interpolazione (cioè che faccia un giro completo del cranio emettendo uno spot per ogni grado della rotazione e non passi da 360* a 200* o poco più “inventando” ciò che non ha acquisito come informazione), che abbia un sensore di alta qualità, per non avere bisogno di software di alterazione delle immagini a scopo migliorativo dell’iconografia. L’ideale è una macchina che abbia una tale qualità da fornire un RAW Data completo, fornendo la “verità” rispetto all’immagine bella, ma alterata informaticamente per essere bella. Che non ricorra a stitching per creare un volume completo, che in automatico dosi la emissione senza lasciare alla iniziativa dell’operatore, che consenta facilità nell’uso dei dati. Come sempre nello scegliere in quale centro indirizzare un paziente per eseguire questo esame, o come scegliere la macchina giusta da comprare è necessario l’aiuto di professionisti competenti, capaci di trasmettere le informazioni indispensabili nel formato adatto, non guidati solo dall’ obiettivo della vendita del “prodotto” che rappresentano ma onesti intellettualmente.  La nuova consapevolezza dovuta alla confidenza con questi dati 3D consente anche di avere una capacità critica molto migliore verso approcci clinici, articoli di letteratura, e cultura in genere.   

Conclusioni

Una tecnologia così sofisticata nella sua parte hardware ma così semplice da usare consente di diventare il miglior metodo di acquisizione culturale a condizione, ovviamente, di essere disposti ad una curva di apprendimento che dipende realmente dalla determinazione di ognuno di noi a migliorarsi.   Cioè quello che accade quando si inizia ad usare un dato volumetrico è che il pensiero istintivo "veloce", al quale siamo abituati e che si basa sulla alterazione di dati dovuta alla mancanza completa delle informazioni riguardo uno dei tre piani che costituiscono un volume, cambia e diventa un pensiero razionale "lento".    

Gli autori del Lavoro:
  • Daniele Benedetti Forastieri: Studio Dentistico Benedetti Forastieri-Guarrella (Senigallia) 
  • Daniele Godi: Digital Workflow Expert presso Revello S.p.A. (Verona) 
Tratto da Odontoiatria33

 


Revello - Valori e Competenze per il dentale