Risultati di ricerca

Argomento: Novità di prodotto
27 aprile 2022

Il ruolo del Defibrillatore in uno Studio dentistico

Il DAE: cos’è esattamente, come utilizzarlo e perché lo Studio odontoiatrico potrebbe averne bisogno.

05 aprile 2022

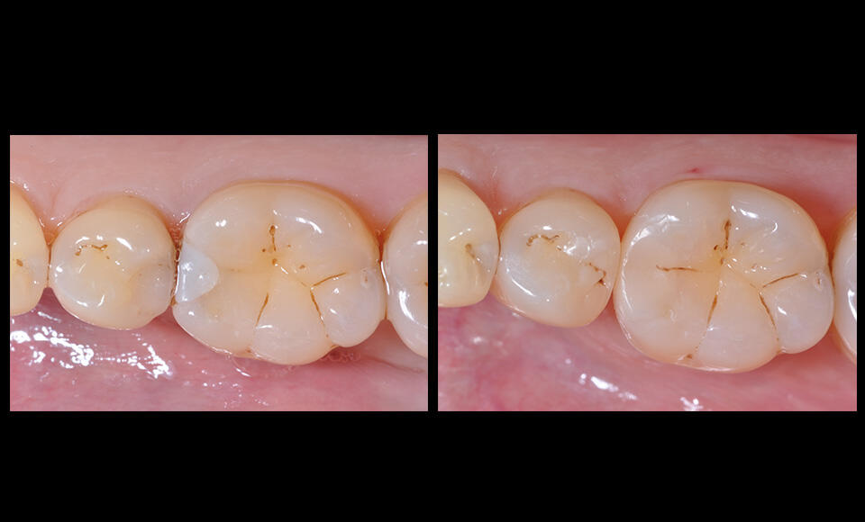
Restauri diretti posteriori: approccio clinico e materiali

Vediamo un caso clinico con la collaborazione del Dr. Giuseppe Marchetti, sui restauri diretti su denti posteriori.

23 marzo 2022

Contaminazione crociata, gli strumenti per ridurre al minimo il rischio

Il rischio da infezione crociata coinvolge tutti gli operatori odontoiatrici, lo staff di studio e i pazienti. Quali strumenti scegliere per ridurre tali rischi?

09 marzo 2022

Fotopolimerizzazione ad alta intensità: tutte le risposte alle tue domande

Scegliere una modalità di polimerizzazione in base alle proprie esigenze non è così semplice. Chiariamo alcuni dubbi e rispondiamo alle domande dei professionisti.

02 febbraio 2022

Anatomicità della matrice e miglioramento dell’ergonomia, in terapia conservativa

In questo articolo, vediamo insieme un caso clinico di conservativa diretta, dedicato all’anatomicità della matrice e miglioramento dell’ergonomia.

12 gennaio 2022

I vantaggi della sedazione cosciente in odontoiatria

Analizziamo i vantaggi dell’utilizzo della sedazione con protossido d'azoto su pazienti che possono presentare alti livelli di emotività oppure patologie croniche.

24 novembre 2021

Protocolli più innovativi nel workflow in odontoiatria conservativa

Semplificare vuol dire ridurre tempi operativi ed errori. Ma senza rinunciare alla qualità, grazie a protocolli innovativi nell’esecuzione dei restauri diretti ed indiretti.

19 novembre 2021

Ruolo e benefici della tecnologia DIFOTI DIAGNOCAM in cariologia

Osservare la bocca in maniera “diversa”: i vantaggi del dispositivo Diagnocam a supporto dei percorsi di diagnosi e trattamento di pazienti da un punto di vista cariologico.

04 novembre 2021

Come respirare aria pulita negli ambienti del proprio Studio?

Respirare aria pulita e purificata nel proprio studio odontoiatrico (e nella propria abitazione) è molto semplice, grazie al purificatore d’aria AeraMax Pro.

20 ottobre 2021

Sanificazione degli ambienti contro la trasmissione di virus e batteri

Ambienti chiusi come lo studio odontoiatrico o il laboratorio odontotecnico possono rappresentare terreno fertile per batteri, virus e allergeni. Ma ci sono soluzioni efficaci per mantenere un ambiente sano e pulito. 

Revello - Valori e Competenze per il dentale