La realizzazione di protesi in pazienti parodontalmente compromessi in cui anche la performance masticatoria sia oramai alterata, richiede un processo riabilitativo complesso che dovrà affrontare differenti aspetti per curare le alterazioni del cavo orale e riabilitare sia funzione che estetica. Anche la scelta dei materiali deve seguire un preciso razionale clinico, non si tratta infatti solo di una scelta estetica.
Di seguito vi mostriamo un caso reale di riabilitazione implanto – protesica, supportata con la metodica all on-4®, procedura particolarmente indicata proprio nel caso della patologia parodontale e oggi ampiamente riconosciuta come valida opzione per la sostituzione dell’intera arcata. Questa metodica, con l’uso dei materiali specifici, descritta step by step, riesce a coniugare perfettamente l’eccellente risultato funzionale con quello estetico oltre alla grande soddisfazione da parte del paziente.

Radiografia pre-operatoria che evidenzia la presenza di elementi dentari con plurime ricostruzioni che presentano infiltrazioni cariose oltre ad importanti problemi parodontali.

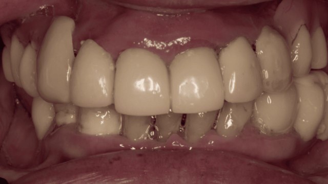
Situazione intra-orale della paziente. Nell’arcata superiore è presente uno scheletrato con attacchi e nell’arcata inferiore corone provvisorie nei settori posteriori. E’ ben evidente sia il difetto estetico che quello funzionale con alterazione dei piani occlusali in entrambe le arcate.

Sorriso della paziente con le attuali riabilitazioni. La richiesta della stessa è quella di risolvere la situazione sia funzionale che estetica senza il ricorso all’ausilio di protesi rimovibili. Si decide quindi in accordo con la paziente di eseguire 2 riabilitazioni implanto-supportate secondo la metodica all-on-4 ®.

Radiografia post-operatoria, gli impianti distali sono inclinati seguendo il protocollo, i superiori ingaggiano le corticali del seno e gli inferiori emergono in corrispondenza del nervo alveolare, in questo modo è possibile ridurre il cantilever distale della struttura protesica.

Protesi provvisorie consegnate alla paziente immediatamente dopo la chirurgia (circa 3 ore dopo). Viene mantenuta una sotto-occlusione dei settori posteriori e non viene montato il primo molare per ridurre il carico masticatorio durante le fasi di osteointegrazione.

Sorriso della paziente con le protesi provvisorie. E’ stato possibile un ottimo recupero estetico e funzionale grazie anche all’aumento della dimensione verticale che ha riportato ad una corretta relazione tra le due arcate.
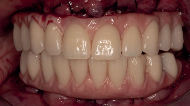
6 mesi dopo l’intervento chirurgico vengono rilevate le impronte degli impianti e prodotte le protesi definitive. Viene realizzata una struttura interna con barra in titanio CAD/CAM, flangia rosa in acrilico caratterizzata con supercolori e denti Pala Premium.
La scelta per questo tipo di riabilitaioni ricade spesso sui Pala Premium grazie alla loro ottima resa estetica e al loro grado di durezza che permette una funzione equilibrata, facilmente adattabile sia da parte del clinico che per il paziente, preservando così gli impianti da possibili traumi o sovraccarichi occlusali.

Visione intraorale delle protesi definitive consegnate alla paziente. È possibile apprezzare l’emergenza protesica che oltre a consentire un’ottima gestione del cantilever distale permette anche, grazie all’utilizzo di multi-unit abutment ed al corretto posizionamento implantare, un ridotto ingombro protesico.
Ha conseguito la laurea in Medicina e Chirurgia con specializzazione in Chirurgia Maxillo-Facciale e Ortognatodonzia presso l’Università degli Studi di Milano. È professore associato di malattie odontostomatologiche, cattedra di chirurgia maxillo-facciale e speciale riabilitativa, presso l’Università Vita-Salute di Milano, Corso di Odontoiatria. Direttore del reparto di odontoiatria della Clinica Odontoiatrica Resnati dell’ospedale San Raffaele di Milano. Esercita privatamente presso la propria clinica di Bollate (MI). Autore del programma di formazione “Tilted Implants” con vari corsi online ed in sede ogni anno. Ha un’esperienza pluriennale nella chirurgia orale, ortognatica, pre-protesica e pre-implantare e nell’implantologia avanzata con impianti intra-orali ed extra-orali. È supervisore di vari congressi nazionali e internazionali ed è autore e coautore di numerose pubblicazioni e libri nazionali e internazionali.
Caso clinico fornito da Kulzer Dental
Intrapendenti per natura, curiosi per scelta. Oltre il prodotto: cosa, come e perché.
Ordine minimo
Non abbiamo un ordine minimo. Revello vi permette di ordinare secondo le vostre esigenze e le vostre urgenze.
Consegna
Il trasporto viene normalmente effettuato con corriere espresso entro le 24 ore dal ricevimento dell’ordine, 48 ore per le isole e località disagiate. Il trasporto è gratuito per ordini superiori a € 130,00. Per ordini inferiori a € 130,00 verranno addebitate le spese di trasporto pari a € 9,50.
Contributo spese imballo
È previsto un contributo fisso di € 2,29 per ogni ordine ricevuto. Nel caso di prodotti mancanti, le spedizioni dei materiali in rimanenza non saranno soggette ad alcun contributo con la sola eccezione delle spedizioni contenenti esclusivamente articoli di classe B ordinati su espressa richiesta del cliente.
Installazione attrezzature
I prezzi delle seguenti categorie di prodotto non sono comprensivi del costo dell’installazione e faranno riferimento al listino Assistenza Tecnica Revello: Autoclavi / Termodisinfettori / Vasche ultrasuoni / Att. Per manutenzione manipoli / Demineralizzatori / Laser.
Pagamenti
• Ricevuta bancaria
• Bonifico Bancario
• SDD: addebito diretto in conto corrente
• Contrassegno: fattura immediata con pagamento diretto al corriere
• Carta di credito
Ai nuovi clienti richiediamo pagamento del primo ordine in contrassegno. Vengono considerati nuovi clienti anche coloro che non fanno ordini da più di 12 mesi.