L'importanza dei contatti dentali nella protesi mobile ad appoggio mucoso

26 novembre 2025
L'importanza dei contatti dentali nella protesi mobile ad appoggio mucoso
La scelta del dente in protesi totale è fondamentale per ottenere un risultato estetico-funzionale ottimale. Il dente Premium ha un’ottima estetica e permette di raggiungere eccellenti risultati estetici nelle protesi, oltre ad avere una morfologia simile al dente naturale, ideale per ottenere montaggi funzionali. In questo breve articolo l'odontotecnico Master Maurizio Melano mostrerà l’importanza della scelta dei denti nei vari passaggi della realizzazione di protesi totali su pazienti edentuli.

Ci sono molti aspetti importanti da prendere in considerazione per un successo in protesi mobile (dimensione verticale, stabilità articolare, piano occlusale, scelta dei denti). In questo breve articolo approfondiremo l’importanza dei contatti dentali.

I contatti dentali sono molto importanti perché sono i responsabili della buona stabilità della protesi. Le cuspidi di stampo superiori (fig.1) devono sempre cadere nelle fosse dei denti inferiori (fig.2) e non sui versanti-piani inclinati altrimenti avremo degli scivolamenti in fase di massima intercuspidazione con conseguente instabilità occlusale. I due archi sono il primo riferimento da considerare per ottenere questa condizione ottimale: uno di centrica attiva (arco che unisce tutte le cuspidi vestibolari e margini incisali del mascellare inferiore fig.3) e uno di centrica passiva (arco che unisce le fosse centrali dei molare e le creste marginali dei denti del mascellare superiore fig.4); i due archi devono corrispondere quando le due arcate sono in prima classe.
 
fig. 1
fig. 2
fig. 3
fig. 4
 

Messa in articolazione dei modelli in gesso

Ora andiamo ad analizzare un caso reale di due protesi mobili con tutte le fasi del montaggio dei denti. Partiamo con i due modelli primari montati su articolatore con l’ausilio dell’arco facciale. Lavorare con i modelli montati sull’articolatore in modo corretto è l’aspetto basilare per iniziare il nostro lavoro. Se non svolgessimo al meglio questa procedura preliminare, ogni valutazione fatta in laboratorio potrebbe risultare non congrua al momento della prova nel cavo orale del paziente (fig.5).
 
fig. 5

Scelta dei denti

Se utilizziamo il Palameter la scelta dei denti risulta più semplice. Il Palameter è uno speciale righello flessibile, con cui è possibile valutare la grandezza dei denti e anche abbracciare l’intera arcata (fig. 6, fig. 7).

fig. 6
fig. 7

Nel righello sono utilizzabili i seguenti sistemi di misura: righello in mm – angoli in ° - scala 1/10 mm - griglia millimetrata.
Le possibilità di applicazione sono le seguenti:
  • Larghezza del dente
  • Volume clinico per l’impianto
  • Ampiezza dei denti frontali
  • Misurazioni verticali del vallo
  • Verifica del margine incisale
  • Ampiezza arcata dentale
  • Rapporto tra creste alveolari e controllo piano occlusale
  • Rapporto occlusale tra molari
  • Rilevazione angolo mandibolare posteriore
  • Stop line
  • Verifica simmetrie e linea mediana
  • Inclinazione primo molare inferiore

Posizionamento dei denti incisivi

I primi denti da posizionare saranno i due incisivi centrali inferiori che dovranno avere un’inclinazione di circa 90° rispetto all’asse inter-condilare (fig.8). Questo ci permetterà di avere un aspetto estetico naturale e una buona funzione protrusiva grazie all’incisivo centrale superiore antagonista posizionato successivamente. Come vediamo evidenziato l’incisivo centrale superiore creerà un angolo di circa 130°/132° rispetto all’asse dell’incisivo centrale inferiore (fig.9); seguire queste indicazioni di montaggio aiuterà ad ottenere un idoneo sostegno del labbro superiore dal punto di vista estetico e una buona funzione protrusiva senza interferenze (fig. 10) che potrebbero creare dislocazioni della protesi.
fig. 8
fig. 9
fig. 10
 

Inclinazione del piano occlusale

Ora, utilizzando l’inserto per determinare l’inclinazione del piano occlusale (fig.11), procediamo con il montaggio dei denti del mascellare inferiore: gli incisivi toccano il piano, la punta del canino lo supera, la cuspide vestibolare del primo premolare lo sfiora, la cuspide vestibolare del secondo premolare è più distanziata di circa 1mm, la cuspide vestibolo mesiale del primo molare lo sfiora, quella centrale vestibolare lo supera e quella disto-vestibolare lo tocca (fig 12). Questa disposizione creerà una buona curva di Spee e soprattutto rispetterà l’inclinazione che avremo stabilito per la nostra protesi mobile.
 
fig. 11
fig. 12

Ora procediamo con il montaggio del mascellare superiore rispettando i contatti dentali sopra descritti (fig.13-14-15).
fig. 13
fig. 14
fig. 15
 

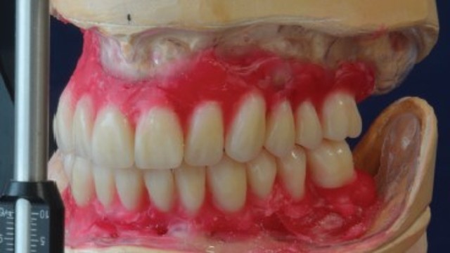
Centrica attiva e centrica passiva

Possiamo apprezzare come la morfologia naturale dei denti Premium Kulzer ci aiuta ad ottenere ottimi rapporti dentali; nelle figure 16-17 vediamo come sono rispettate le curve di centrica attiva e centrica passiva. 
Inoltre, il dente Premium Kulzer per la sua forma anatomica che esalta la cuspide naturale del dente, permette il giusto alloggiamento delle cuspidi di taglio superiori nelle fosse dei denti antagonisti, creando i contatti corretti che serviranno sia per l’efficienza masticatoria che per la stabilità sia occlusale che delle protesi (fig.18-19).
 
fig. 16
fig. 17
fig. 18
fig. 19
 

Movimenti funzionali e lateralità

Anche le guide nei movimenti funzionali di lateralità (fig. 20) e di protrusione (fig. 21) risultano più facili da ottenere se usiamo denti cuspidati con la morfologia sovrapponibile ai denti naturali.
fig. 20
fig. 21

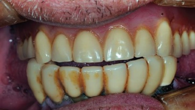
Caso reale

Paziente con vecchia protesi totale superiore e edentulia inferiore nei settori posteriori. Classe scheletrica tre.
 
fig. 22
fig. 23
fig. 24

Autore

Odontotecnico Master Maurizio Melano

Nato a Pinerolo (TO) nel 1966, è titolare di laboratorio odontotecnico dal 1990. Odontotecnico Master (Donau Universitat - Austria) con trentennale esperienza, è specializzato sulla funzione dell’organo masticatorio, seguendo la metodica del Prof. R. Slavicek.

Relatore internazionale e autore di pubblicazioni scientifiche.

Articolo fornito da Kulzer Italia.


Revello - Valori e Competenze per il dentale