Socket Preservation oggi, approccio mini invasivo e risultati predicibili

15 febbraio 2022
Socket Preservation

La Socket Preservation è ormai diventata una tecnica riproducibile, grazie a protocolli definiti e consolidati ed alle soluzioni ideali che i produttori hanno messo a disposizione dei clinici.

In questo articolo vogliamo condividere procedure e passaggi che determinano un risultato finale certificato, così da poter mettere in condizione il clinico di toccare con mano i benefici di questa tecnica, mettendo a disposizione una flowcharte un caso clinico del Professor Soardi.

Preservazione cosmetica del sito estrattivo: la tecnica CYTOPLAST senza chiusura primaria

La flowchart che mettiamo a disposizione descrive passo passo tutti gli step che devono essere seguiti in modo estremamente meticoloso, così da preservare l’altissima predicibilità della tecnica.

Per massimizzare il risultato delle procedure di conservazione della cresta si dovrebbero considerare tecniche progettate per minimizzare il trauma all’osso alveolare.

La membrana Cytoplast in d-PTFE viene ritagliata per estendersi di 3-4 mm oltre i margini della cavità e quindi con un curette infilata sotto il periostio del lembo palatale, vestibolare e la papilla interdentale.

La membrana viene ulteriormente stabilizzata usando una sutura incrociata in PTFE Cytoplast®. In alternativa si possono posizionare dei punti interrotti. Le suture in PTFE, che causano una risposta infiammatoria minima, vengono lasciate in sito per 10-14 giorni.

La membrana viene rimossa in modo non chirurgico dopo 3-4 settimane. Gli studi hanno infatti dimostrato che in tale periodo si forma una matrice di tessuto connettivo denso e vascolarizzato e una prima osteogenesi viene osservata nei 2/3 della cavità.

Dopo 6 settimane la gengiva cheratinizzata ha iniziato a formarsi sopra la cavità che è stata riempita. La naturale architettura del tessuto molle è preservata, incluso la papilla interdentale.

Il nuovo osso inizia a formarsi nella cavità. Nelle 6-10 settimane successive, si crea un aumento dello spessore trabecolare e un aumento della sua mineralizzazione che si tradurrà in un osso capace di supportare il carico e adeguato al posizionamento di impianti.

 

Open Barrier Tecnique: un caso clinico del Professor Soardi

Il caso clinico del Professor Soardi illustra chiaramente i risultati estremamente interessanti che si riescono ad ottenere attraverso il protocollo Open Barrier Tecnique, attraverso un approccio minimamente invasivo ed utilizzando materiali e metodi testati. Come potrete vedere dal risultato finale anche una situazione così difficilmente recuperabile, in altissima zona estetica, può essere gestita e risolta ottimamente.


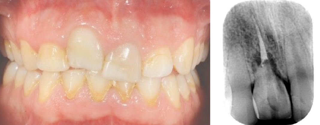
Immagine clinica iniziale ed evidenza radiografica del riassorbimento radicolare


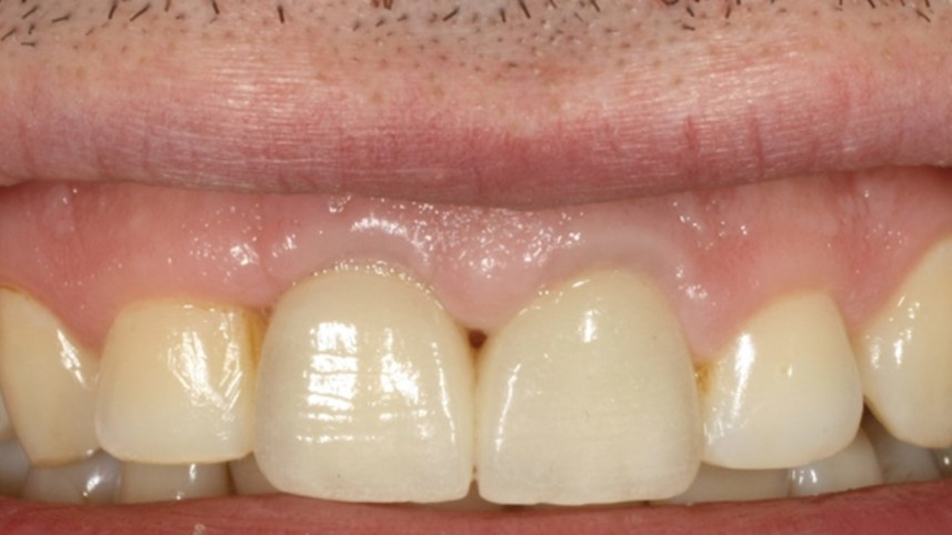
Evidenza clinica della mancanza di parete vestibolare

 

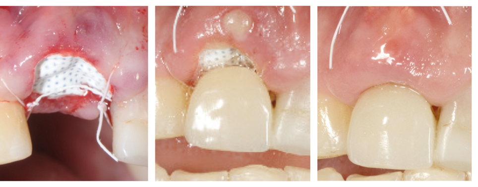
Inserimento della membrana in dPTFE Cytoplast TXT 1224 tramite sutura e posizionamento di sostituto osso suino ad alta porosità Zcore™.


Tre momenti: al momento della chirurgia, dopo 1 settimana e dopo 4 settimane


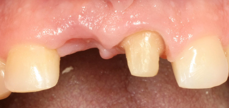
Immagine clinica e radiografica al momento della rimozione della membrana

 

Inserimento implantare dopo quattro mesi

 
Risultato finale

 

Revello - Valori e Competenze per il dentale