La Socket Preservation è ormai diventata una tecnica riproducibile, grazie a protocolli definiti e consolidati ed alle soluzioni ideali che i produttori hanno messo a disposizione dei clinici.
In questo articolo vogliamo condividere procedure e passaggi che determinano un risultato finale certificato, così da poter mettere in condizione il clinico di toccare con mano i benefici di questa tecnica, mettendo a disposizione una flowcharte un caso clinico del Professor Soardi.
La flowchart che mettiamo a disposizione descrive passo passo tutti gli step che devono essere seguiti in modo estremamente meticoloso, così da preservare l’altissima predicibilità della tecnica.
Per massimizzare il risultato delle procedure di conservazione della cresta si dovrebbero considerare tecniche progettate per minimizzare il trauma all’osso alveolare.
La membrana Cytoplast in d-PTFE viene ritagliata per estendersi di 3-4 mm oltre i margini della cavità e quindi con un curette infilata sotto il periostio del lembo palatale, vestibolare e la papilla interdentale.
La membrana viene ulteriormente stabilizzata usando una sutura incrociata in PTFE Cytoplast®. In alternativa si possono posizionare dei punti interrotti. Le suture in PTFE, che causano una risposta infiammatoria minima, vengono lasciate in sito per 10-14 giorni.
La membrana viene rimossa in modo non chirurgico dopo 3-4 settimane. Gli studi hanno infatti dimostrato che in tale periodo si forma una matrice di tessuto connettivo denso e vascolarizzato e una prima osteogenesi viene osservata nei 2/3 della cavità.
Dopo 6 settimane la gengiva cheratinizzata ha iniziato a formarsi sopra la cavità che è stata riempita. La naturale architettura del tessuto molle è preservata, incluso la papilla interdentale.
Il nuovo osso inizia a formarsi nella cavità. Nelle 6-10 settimane successive, si crea un aumento dello spessore trabecolare e un aumento della sua mineralizzazione che si tradurrà in un osso capace di supportare il carico e adeguato al posizionamento di impianti.
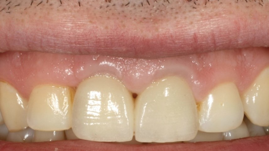
Il caso clinico del Professor Soardi illustra chiaramente i risultati estremamente interessanti che si riescono ad ottenere attraverso il protocollo Open Barrier Tecnique, attraverso un approccio minimamente invasivo ed utilizzando materiali e metodi testati. Come potrete vedere dal risultato finale anche una situazione così difficilmente recuperabile, in altissima zona estetica, può essere gestita e risolta ottimamente.

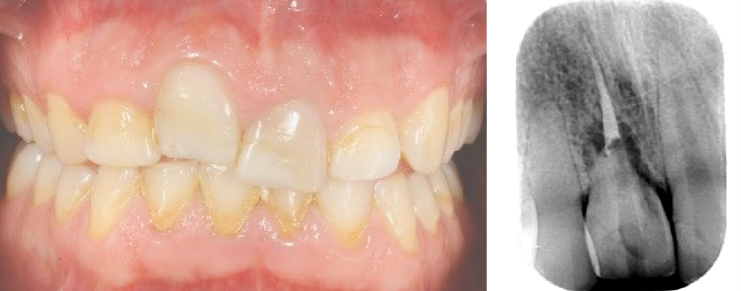
Immagine clinica iniziale ed evidenza radiografica del riassorbimento radicolare

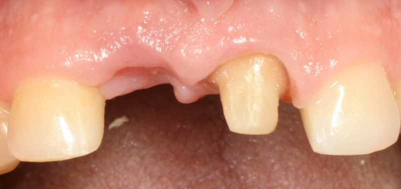
Evidenza clinica della mancanza di parete vestibolare
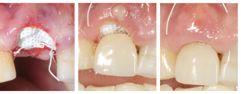
Inserimento della membrana in dPTFE Cytoplast TXT 1224 tramite sutura e posizionamento di sostituto osso suino ad alta porosità Zcore™.

Tre momenti: al momento della chirurgia, dopo 1 settimana e dopo 4 settimane

Immagine clinica e radiografica al momento della rimozione della membrana

Inserimento implantare dopo quattro mesi

Intrapendenti per natura, curiosi per scelta. Oltre il prodotto: cosa, come e perché.
Ordine minimo
Non abbiamo un ordine minimo. Revello vi permette di ordinare secondo le vostre esigenze e le vostre urgenze.
Consegna
Il trasporto viene normalmente effettuato con corriere espresso entro le 24 ore dal ricevimento dell’ordine, 48 ore per le isole e località disagiate. Il trasporto è gratuito per ordini superiori a € 130,00. Per ordini inferiori a € 130,00 verranno addebitate le spese di trasporto pari a € 9,50.
Contributo spese imballo
È previsto un contributo fisso di € 2,29 per ogni ordine ricevuto. Nel caso di prodotti mancanti, le spedizioni dei materiali in rimanenza non saranno soggette ad alcun contributo con la sola eccezione delle spedizioni contenenti esclusivamente articoli di classe B ordinati su espressa richiesta del cliente.
Installazione attrezzature
I prezzi delle seguenti categorie di prodotto non sono comprensivi del costo dell’installazione e faranno riferimento al listino Assistenza Tecnica Revello: Autoclavi / Termodisinfettori / Vasche ultrasuoni / Att. Per manutenzione manipoli / Demineralizzatori / Laser.
Pagamenti
• Ricevuta bancaria
• Bonifico Bancario
• SDD: addebito diretto in conto corrente
• Contrassegno: fattura immediata con pagamento diretto al corriere
• Carta di credito
Ai nuovi clienti richiediamo pagamento del primo ordine in contrassegno. Vengono considerati nuovi clienti anche coloro che non fanno ordini da più di 12 mesi.