Manufatto protesico realizzato con tecnologia CAD/CAM

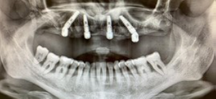
Classico esempio di riabilitazione su full arch secondo la tecnica di Malò

Intrapendenti per natura, curiosi per scelta. Oltre il prodotto: cosa, come e perché.
Ordine minimo
Non abbiamo un ordine minimo. Revello vi permette di ordinare secondo le vostre esigenze e le vostre urgenze.
Consegna
Il trasporto viene normalmente effettuato con corriere espresso entro le 24 ore dal ricevimento dell’ordine, 48 ore per le isole e località disagiate. Il trasporto è gratuito per ordini superiori a € 130,00. Per ordini inferiori a € 130,00 verranno addebitate le spese di trasporto pari a € 9,50.
Contributo spese imballo
È previsto un contributo fisso di € 2,29 per ogni ordine ricevuto. Nel caso di prodotti mancanti, le spedizioni dei materiali in rimanenza non saranno soggette ad alcun contributo con la sola eccezione delle spedizioni contenenti esclusivamente articoli di classe B ordinati su espressa richiesta del cliente.
Installazione attrezzature
I prezzi delle seguenti categorie di prodotto non sono comprensivi del costo dell’installazione e faranno riferimento al listino Assistenza Tecnica Revello: Autoclavi / Termodisinfettori / Vasche ultrasuoni / Att. Per manutenzione manipoli / Demineralizzatori / Laser.
Pagamenti
• Ricevuta bancaria
• Bonifico Bancario
• SDD: addebito diretto in conto corrente
• Contrassegno: fattura immediata con pagamento diretto al corriere
• Carta di credito
Ai nuovi clienti richiediamo pagamento del primo ordine in contrassegno. Vengono considerati nuovi clienti anche coloro che non fanno ordini da più di 12 mesi.