Archivio corsi

Tipologia corso: Corso in presenza 11 novembre 2024

Moderna odontoiatria adesiva – approccio diretto

I restauri posteriori diretti rappresentano uno dei trattamenti più frequenti nella pratica quotidiana e lo scenario clinico per questa procedura può essere molto diverso in ogni singolo caso, da situazioni semplici e facili da gestire a restauri che richiedono procedure chirurgiche, diventando molto impegnativi. Durante il corso verranno analizzate step-by step le indicazioni ed i giusti approcci per ottenere facilmente risultati prevedibili con restauri diretti in composito, con particolare enfasi sulla gestione dei profili di emergenza, per ottenere un adeguato punto di contatto, e le varie tecniche di stratificazione e modellazione più indicate per le varie morfologie cavitarie.

In collaborazione con Garrison e Ivoclar.

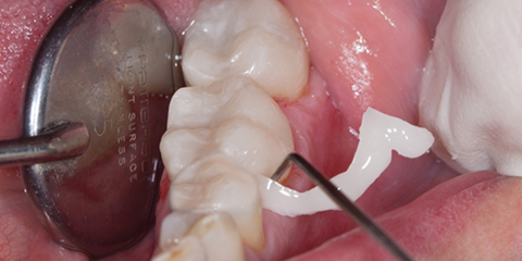
Tipologia corso: Corso in presenza 09 novembre 2024

Ecosistema Panavia: cementazione adesiva contemporanea

Il corso teorico-pratico è strutturato in modo da fugare ogni dubbio sulle moderne tecniche di cementazione adesiva in relazione ai substrati naturali e artificiali.

In collaborazione con Kuraray Noritake.

Tipologia corso: Corso in presenza Scopri le date

Flow Injection Technique

L'injection moulding technique è una valida opzione terapeutica per il trattamento di casi clinici ad alta valenza estetica. Mediante una serie di casi clinici, verranno illustrate nel dettaglio indicazioni, vantaggi e svantaggi rispetto a soluzioni alternative (restauri diretti, faccette, corone), trattamento di casi semplici e complessi, applicazione di nuovi protocolli operativi semplificati.

Tipologia corso: Corso in presenza 14 ottobre 2024

Protocolli di cementazione per semplificare la routine di tutti i giorni

Sempre di più oggi, con l’utilizzo di nuovi materiali estetici nelle moderneriabilitazioni protesiche si ha la necessità dell’utilizzo di una cementazione adesiva.L’utilizzo di cementi adesivi richiede informazioni sui diversi substrati che andiamo atrattare per evitare fallimenti dell’adesione.

In collaborazione con Dentsply Sirona.

Tipologia corso: Corso in presenza 11 ottobre 2024

L’estrazione piezoelettrica: innovazione in chirurgia estrattiva

Le estrazioni dentarie sono l’atto chirurgico che più frequentemente viene eseguito dall’odontoiatra. La tecnologia piezoelettrica semplifica al clinico questa pratica chirurgica, poiché la lussazione e la estrazione sfruttano la vibrazione ultrasonica e non la forza che normalmente viene applicata alla leva o alla pinza, strumenti che l’estrazione piezoelettrica rende obsoleti. Verranno analizzati i nuovi inserti che consentono un accesso poco traumatico all’elemento da estrarre. Scopo del corso è quello di creare un percorso teorico pratico dalla diagnosi clinica radiologica alla pianificazione dell’intervento. Verranno analizzate le procedure per ridurre l’invasività dell’atto chirurgico e conseguentemente i rischi per il paziente.

In collaborazione con Mectron.

Tipologia corso: Corso in presenza 09 ottobre 2024

Endodonzia minimamente invasiva: solo l'eccellenza porta al successo

Durante la conferenza, il Dr. Josè Aranguren Cangas, docente presso l’Università di Madrid e co-inventore della sistematica BlueShaper® (Zarc4Endo) presenterà i rivoluzionari sistemi di sagomatura SlimShaper® PRO ed ApicalShaper® (Zarc4Endo) che consentono di sagomare i canali dentali in modo estremamente conservativo.
Questi innovativi strumenti sono in grado di mantenere l’anatomia naturale dei denti preservando meglio la dentina pericervicale.

Tipologia corso: Corso in presenza 02 ottobre 2024

Semplificazione e standardizzazione nella ricostruzione della parete interprossimale

Il corso vuole fornire protocolli semplici, fruibili a tutti e soprattutto ripetibili, per la ricostruzione della parete interprossimale.
Semplificazione diventa quindi sinonimo di ottimizzazione delle risorse a propria disposizione, allo scopo di rendere più efficiente e standardizzato il workflow clinico, senza però abbassare gli standard qualitativi.

In collaborazione con Garrison e Kuraray Noritake.

Tipologia corso: Incontro in presenza Scopri le date

Le potenzialita’ del dente naturale

Verrà mostrato come il dente del paziente, opportunamente trattato, permette rigenerazioni di altissima qualità mediante analisi istologiche e cliniche con follow up e può inoltre diventare un bene da conservare e uno strumento di marketing.

 

Cerca per:

In evidenza

Revello - Valori e Competenze per il dentale