Cone Beam 3D

Cone Beam 3D Carestream CS 8200 3D

CS 8200 3D è un sistema CBCT versatile e compatto che offre un campo visivo esteso — ideale per studi odontoiatrici che desiderino coprire una gamma di indicazioni maggiore o ampliare le capacità di trattamento.
Dotato di tecnologie e software di imaging Carestream Dental di livello premium, questa soluzione “4 in 1” comprovata assicura un’eccellente qualità dell’immagine in tutte le modalità e permette di offrire una serie più  ampia di servizi in studio.

La qualità d’immagine è l’elemento portante di CS 8200 3D. Le avanzate tecnologie di imaging forniscono una chiarezza eccezionale, limitando gli artefatti e il rumore, migliorando le tue capacità diagnostiche e aiutandoti a vedere di più, come mai prima d’ora. Grazie ai suoi campi visivi estesi, alle applicazioni software avanzate e al modulo cefalometrico opzionale, CS 8200 3D risponde a tutte le esigenze degli odontoiatri e degli specialisti che posizionano impianti, che eseguono trattamenti endodontici e parodontali, chirurgia orale, procedure ortodontiche o analisi delle vie aeree.
 

Campi visivi estesi

CS 8200 3D offre due campi visivi aggiuntivi — 12 cm x 5 cm e 12 cm x 10 cm — perfettamente adatti per l’acquisizione delle arcate complete con una singola scansione e ideali per tutti i casi che interessano l’intera dentatura o il terzo molare.
 

Sistema multifunzionale

Oltre all’imaging diagnostico, CS 8200 3D ti permette di ottenere modelli 3D digitali precisi che si integrano in modo rapido e lineare con applicazioni 3D opzionali, comprese quelle per pianificazione implantare e per ortodonzia.
 

Riduce gli artefatti metallici

L’esclusiva tecnologia CS MAR con confronto dinamico riduce automaticamente gli artefatti da parti metalliche, aiuta a confermare la diagnosi e riduce il rischio di errori d’interpretazione.
 

Campi visivi selezionabili

Avendo a disposizione fino a sei campi visivi — dal 4 cm x 4 cm al 12 cm x 10 cm — puoi ottenere l’immagine ideale per ciascuno specifico esame, con la minima dose.
 

Advanced noise reduction

L’algoritmo ANR riduce il rumore dell’immagine preservando allo stesso tempo i dettagli clinici e migliora la percezione del bordo dell’osso corticale, dello spazio dei legamenti, dei tessuti molli e di altri piccoli dettagli.
 

Immagini 3D ad alta risoluzione

La modalità EndoHD assicura immagini a risoluzione estremamente elevata (fino a 75 μm), perfettamente adatte per le indicazioni endodontiche.
 

Immagini 2D eccellenti

Grazie alla nuova tecnologia Tomosharp e all’avanzata elaborazione delle immagini, CS 8200 3D assicura immagini panoramiche, cefalometriche e bitewing dall’eccellente nitidezza.
 

CS imaging versione 8

Il software di imaging collega tutte le tecnologie di imaging e CAD/CAM di Carestream Dental in un’unica piattaforma — il primo passo per un flusso di lavoro efficace ed efficiente.
Scansioni arcata

Scansioni arcata

Le scansioni della arcata completa sono ideali per i casi che interessano l’intera dentatura.

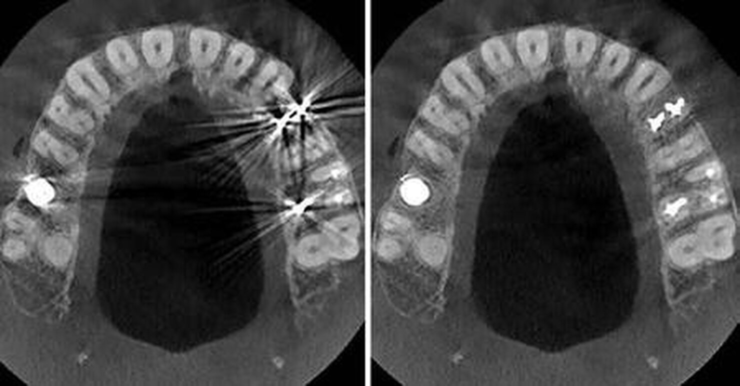
Tecnologia CS MAR1

Tecnologia CS MAR1

CS MAR permette una riduzione significativa degli artefatti causati da impianti, otturazioni e protesi.

Richiedi informazioni

I campi contrassegnati con * sono obbligatori

Cliccando su "Invia" accetti la nostra privacy policy. Leggi

Presa visione dell' informativa riportata qui autorizzo il trattamento dei dati come descritto in informativa per le finalità di Marketing Diretto (finalità 1.B) – campo facoltativo

Invio richiesta in corso...
Ti ringraziamo per averci contattato, la tua richiesta è stata inoltrata.
Sarai ricontattato entro breve.

Ti potrebbe interessare anche:

Revello - Valori e Competenze per il dentale