Restauri diretti in composito in paziente con impact-food

06 luglio 2022
Restauri diretti

Vediamo insieme un caso clinico del Dr. Alessandro Pezzana.

Il paziente in questo caso è una donna di 52 anni che gode di piena salute a livello sistemico.

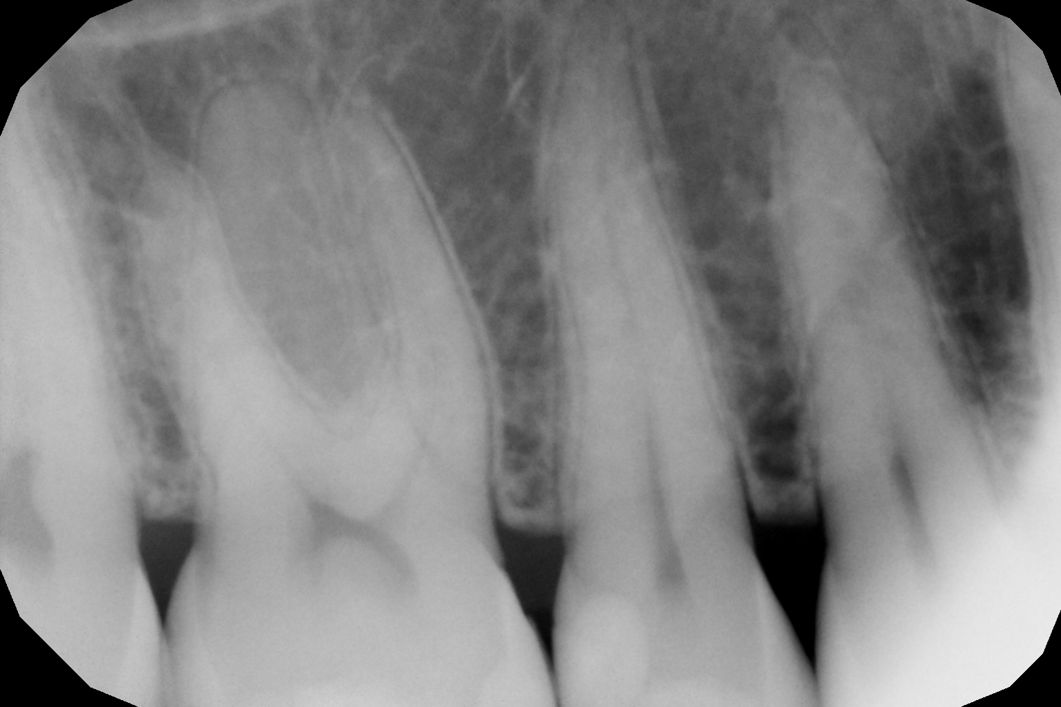
Si presenta alla nostra attenzione per dolore in zona premolare e molare del primo quadrante. Dopo un’analisi clinica e strumentale con radiografie e test diagnostici, si evidenzia la necessità di sostituire le precedenti otturazioni in composito, al fine di consegnare un migliore punto di contatto (fenomeno dell’impact food).

Come spesso accade in queste circostanze si decide per il rifacimento di tali restauri sia su 1.6 che su 1.5.

Una volta eliminato completamente il composito, si procede con la detersione della dentina con frese multilama ed alla rifinitura dei margini di smalto che dovranno essere robusti e puliti.

Dopo il posizionamento del cuneo, anello e delle due matrici sezionai, selezionate per altezza e raggio di curvatura, si procede con l’applicazione dell’adesivo universale, previa pre-mordenzatura dello smalto. 

 

Modellazione delle pareti inter-prossimali

A questo punto si procede con la stratificazione e modellazione di una delle due pareti inter-prossimali e si polimerizza. Si elimina quindi la matrice della parete appena eseguita sposando l’anello che viene immediatamente rialloggiato.

Successivamente, eliminato lo spessore dato dalla seconda matrice, si procede con la creazione della seconda parete.

Trasformate le cavita da II classi a I classi si procede con la classica modellazione cuspide per cuspide, sfruttando le caratteristiche meccaniche e anche estetiche dei materiali compositi bulk.

 

Foto delle varie fasi

foto 1 Fotografia iniziale

foto 2 Isolamento e aspetto delle cavità ultimate

foto 3 Aspetto vestibolare della cavità ultimate

foto 4 Aspetto della chiusura cervicale e sulle pareti assiali dato dalla prima matrice

foto 5 Aspetto della chiusura cervicale e sulle pareti assiali della seconda matrice

foto 6 Aspetto occlusale delle pareti interprossimali appena create

foto 7 Aspetto vestibolare delle pareti interprossimali appena create

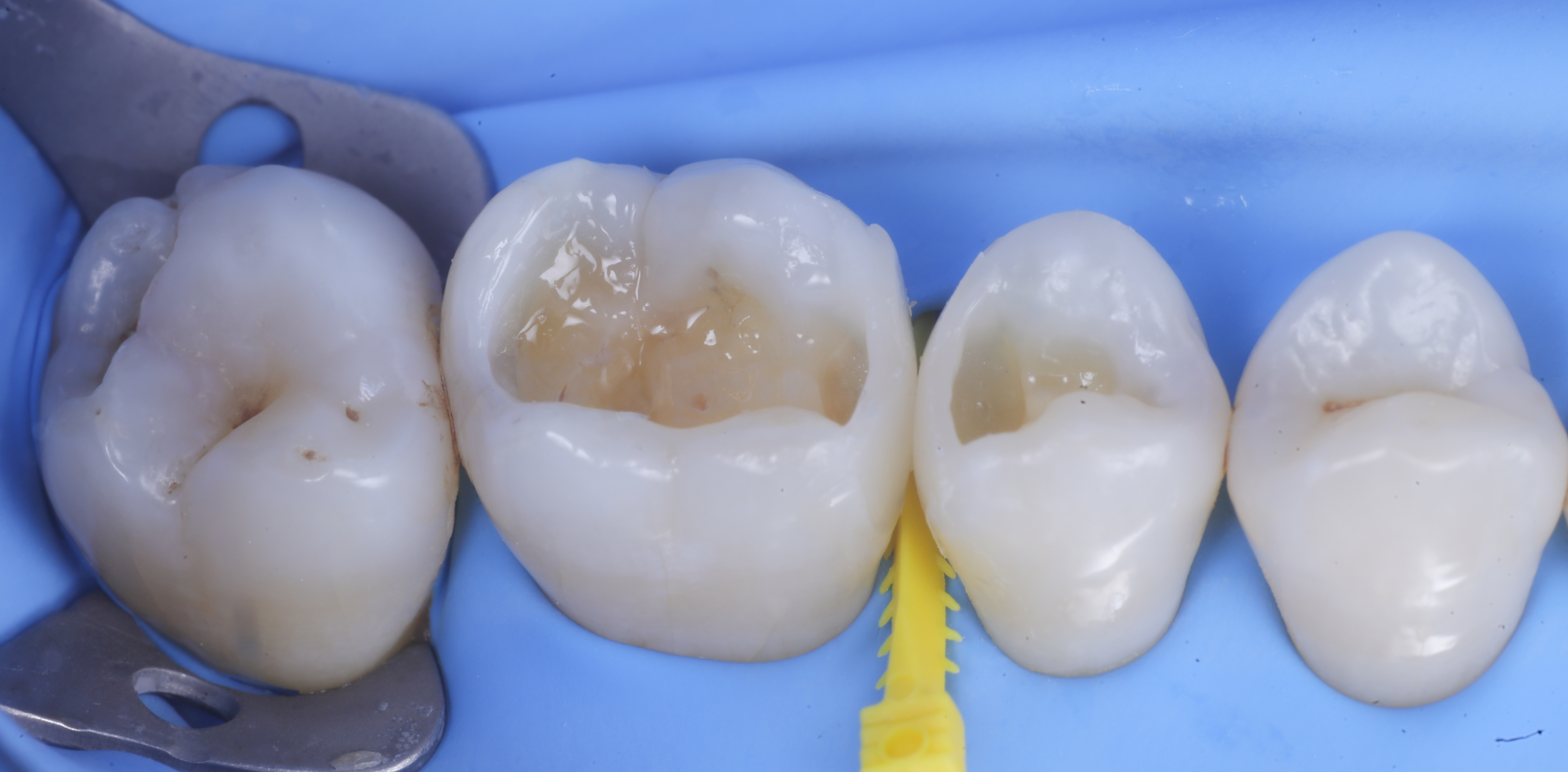
foto 8 Modellazione ed aspetto occlusale

foto 9 Modellazione ed aspetto vestibolare

foto 10 Modellazione ed aspetto palatino

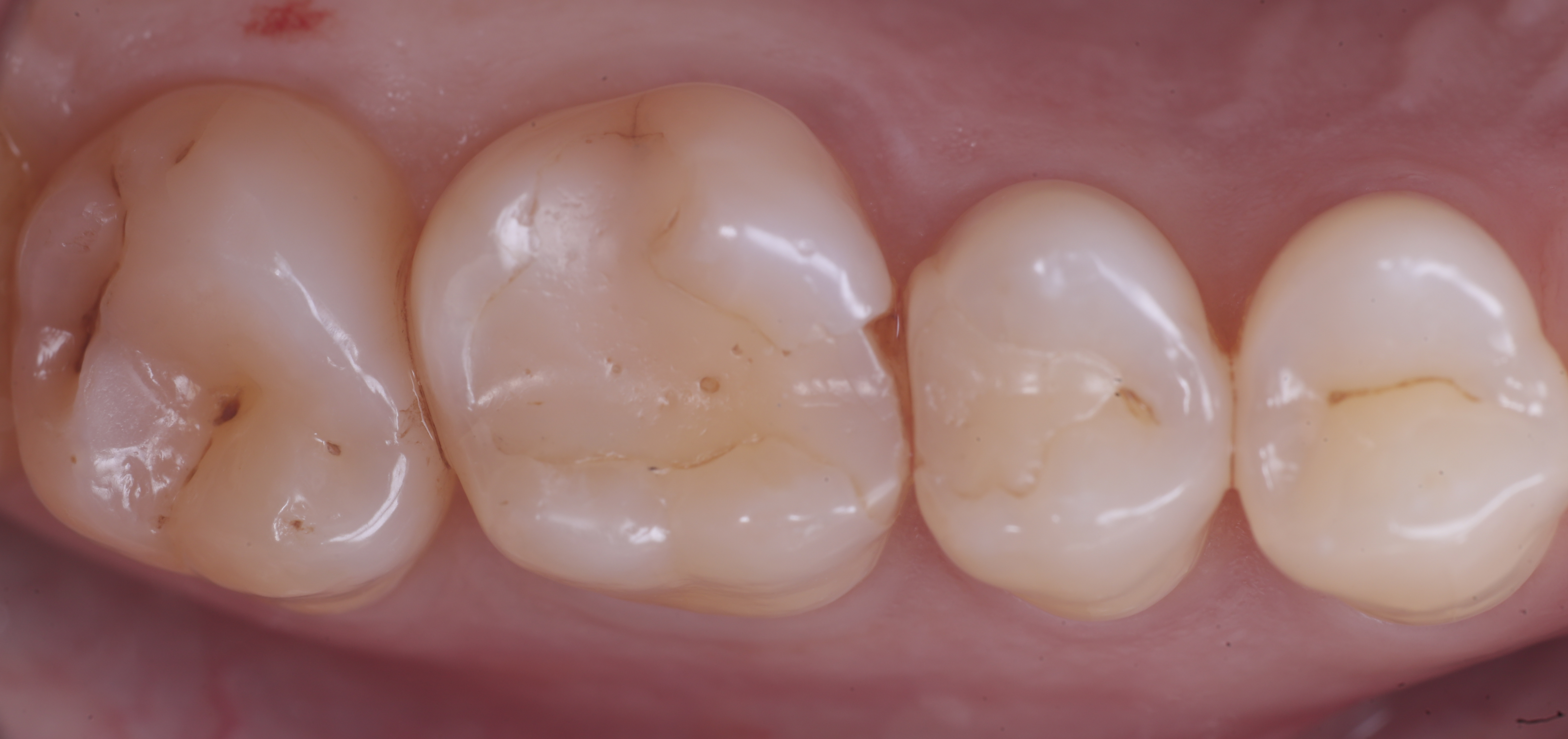
foto 11 Restauri ultimati sotto controllo occlusale

foto 12 Aspetto radiografico

 


Revello - Valori e Competenze per il dentale