Vediamo insieme un caso clinico del Dr. Alessandro Pezzana.
Il paziente in questo caso è una donna di 52 anni che gode di piena salute a livello sistemico.
Si presenta alla nostra attenzione per dolore in zona premolare e molare del primo quadrante. Dopo un’analisi clinica e strumentale con radiografie e test diagnostici, si evidenzia la necessità di sostituire le precedenti otturazioni in composito, al fine di consegnare un migliore punto di contatto (fenomeno dell’impact food).
Come spesso accade in queste circostanze si decide per il rifacimento di tali restauri sia su 1.6 che su 1.5.
Una volta eliminato completamente il composito, si procede con la detersione della dentina con frese multilama ed alla rifinitura dei margini di smalto che dovranno essere robusti e puliti.
Dopo il posizionamento del cuneo, anello e delle due matrici sezionai, selezionate per altezza e raggio di curvatura, si procede con l’applicazione dell’adesivo universale, previa pre-mordenzatura dello smalto.
A questo punto si procede con la stratificazione e modellazione di una delle due pareti inter-prossimali e si polimerizza. Si elimina quindi la matrice della parete appena eseguita sposando l’anello che viene immediatamente rialloggiato.
Successivamente, eliminato lo spessore dato dalla seconda matrice, si procede con la creazione della seconda parete.
Trasformate le cavita da II classi a I classi si procede con la classica modellazione cuspide per cuspide, sfruttando le caratteristiche meccaniche e anche estetiche dei materiali compositi bulk.
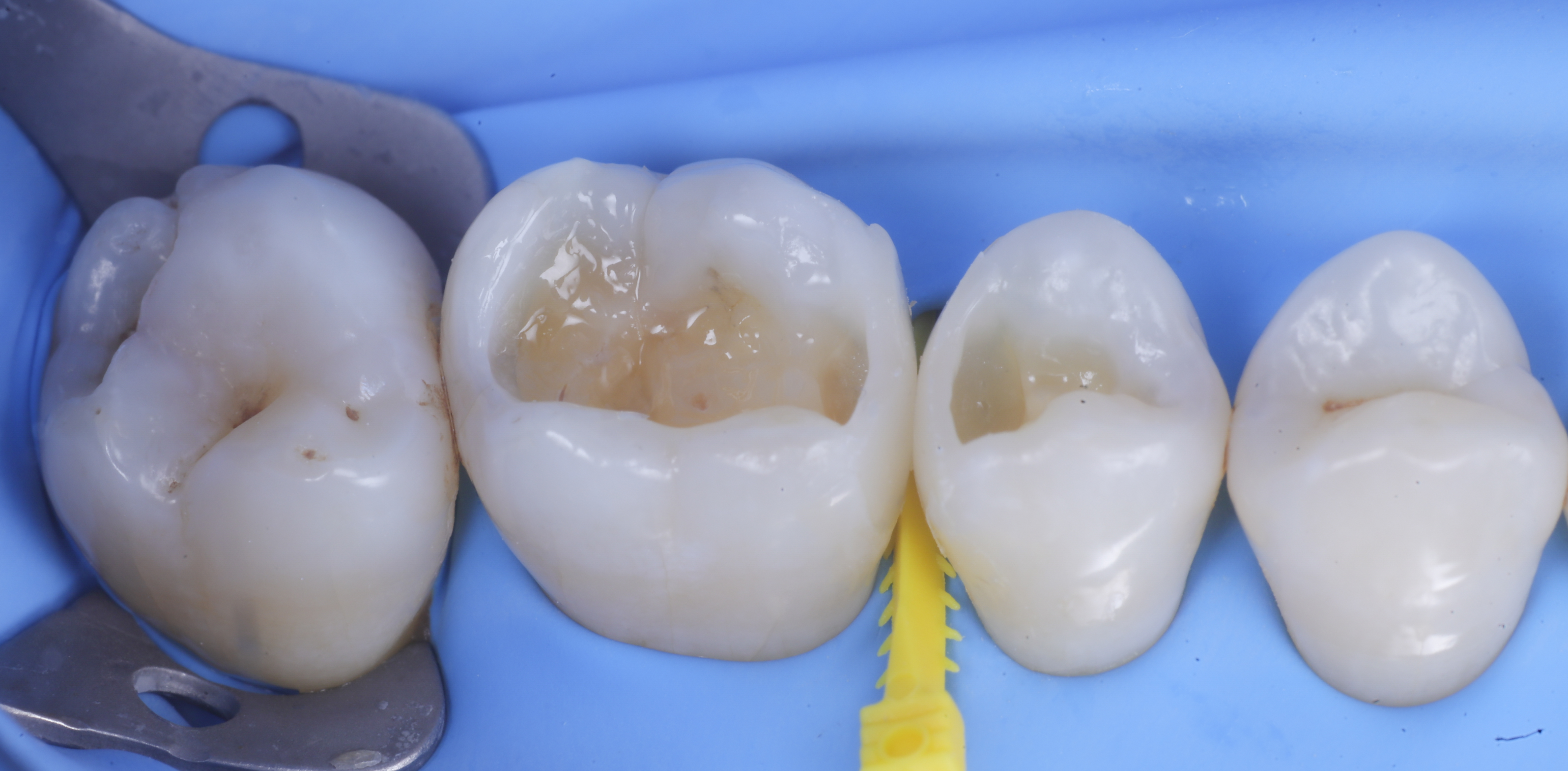
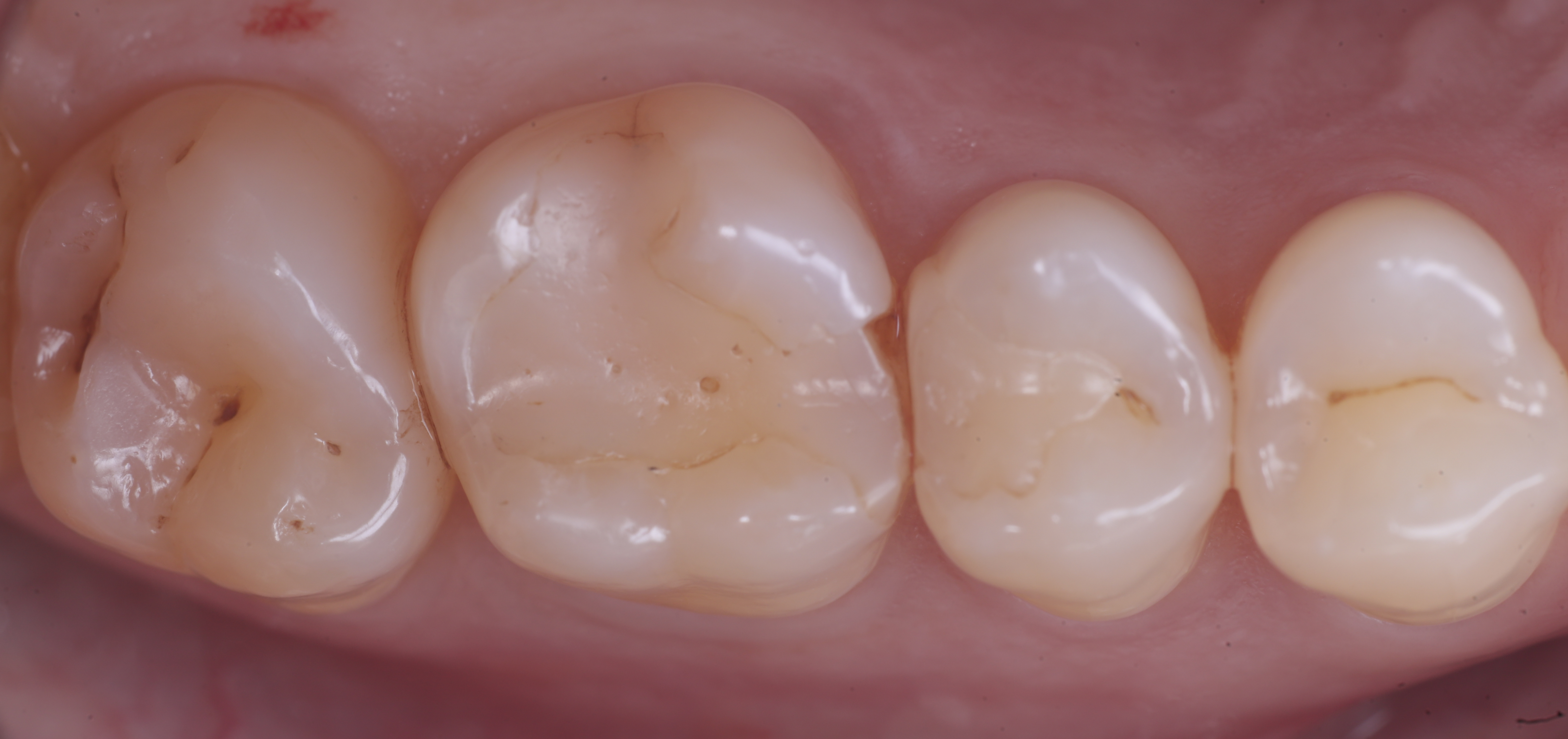
Foto delle varie fasi
foto 1 Fotografia iniziale
foto 2 Isolamento e aspetto delle cavità ultimate
foto 3 Aspetto vestibolare della cavità ultimate
foto 4 Aspetto della chiusura cervicale e sulle pareti assiali dato dalla prima matrice
foto 5 Aspetto della chiusura cervicale e sulle pareti assiali della seconda matrice
foto 6 Aspetto occlusale delle pareti interprossimali appena create
foto 7 Aspetto vestibolare delle pareti interprossimali appena create
foto 8 Modellazione ed aspetto occlusale
foto 9 Modellazione ed aspetto vestibolare
foto 10 Modellazione ed aspetto palatino
foto 11 Restauri ultimati sotto controllo occlusale
foto 12 Aspetto radiografico
Intrapendenti per natura, curiosi per scelta. Oltre il prodotto: cosa, come e perché.
Ordine minimo
Non abbiamo un ordine minimo. Revello vi permette di ordinare secondo le vostre esigenze e le vostre urgenze.
Consegna
Il trasporto viene normalmente effettuato con corriere espresso entro le 24 ore dal ricevimento dell’ordine, 48 ore per le isole e località disagiate. Il trasporto è gratuito per ordini superiori a € 130,00. Per ordini inferiori a € 130,00 verranno addebitate le spese di trasporto pari a € 9,50.
Contributo spese imballo
È previsto un contributo fisso di € 2,29 per ogni ordine ricevuto. Nel caso di prodotti mancanti, le spedizioni dei materiali in rimanenza non saranno soggette ad alcun contributo con la sola eccezione delle spedizioni contenenti esclusivamente articoli di classe B ordinati su espressa richiesta del cliente.
Installazione attrezzature
I prezzi delle seguenti categorie di prodotto non sono comprensivi del costo dell’installazione e faranno riferimento al listino Assistenza Tecnica Revello: Autoclavi / Termodisinfettori / Vasche ultrasuoni / Att. Per manutenzione manipoli / Demineralizzatori / Laser.
Pagamenti
• Ricevuta bancaria
• Bonifico Bancario
• SDD: addebito diretto in conto corrente
• Contrassegno: fattura immediata con pagamento diretto al corriere
• Carta di credito
Ai nuovi clienti richiediamo pagamento del primo ordine in contrassegno. Vengono considerati nuovi clienti anche coloro che non fanno ordini da più di 12 mesi.