Complessità nelle riabilitazioni protesiche su denti usurati

14 luglio 2021
denti usurati
La gestione dei casi di pazienti con denti fortemente usurati, da cause chimiche, meccaniche o combinazione di entrambe, risulta essere una delle più complesse sfide per odontoiatri e odontotecnici, sia per quanto che riguarda il lato funzionale, che per quello che riguarda l'aspetto estetico.  Conoscere bene le cause generanti l’usura e le sue implicazioni risulta essere il punto chiave della riabilitazione protesica, specie se associata a tecniche di preparazione minimamente invasive.  A tal proposito, l’impiego di strumenti abrasivi che permettano un leggero stripping durante la preparazione dentale, agevolerà il clinico nell’apertura delle aree di contatto, che permetterà non solo un miglioramento delle tecniche di impronta e di cementazione, ma anche un miglior risultato estetico in presenza di restauri a spessore minimale.

Un caso clinico spiegato dal Dott. Roberto Turrini

 garrison-roberto-turrini

Fig. 1a e 1b

Il Paziente, di anni 69, si presenta alla mia osservazione con forti limiti estetico-funzionali dovuti a dentatura fortemente usurata. 

garrison-roberto-turrini

Fig. 2a e 2b

Dopo un attento studio del caso, si opta per una riabilitazione completa con rialzo della dimensione verticale di occlusione. Il rialzo calibrato della DVO viene testato mediante mock-up per un periodo di 2 mesi.

garrison-roberto-turrini

Fig. 3

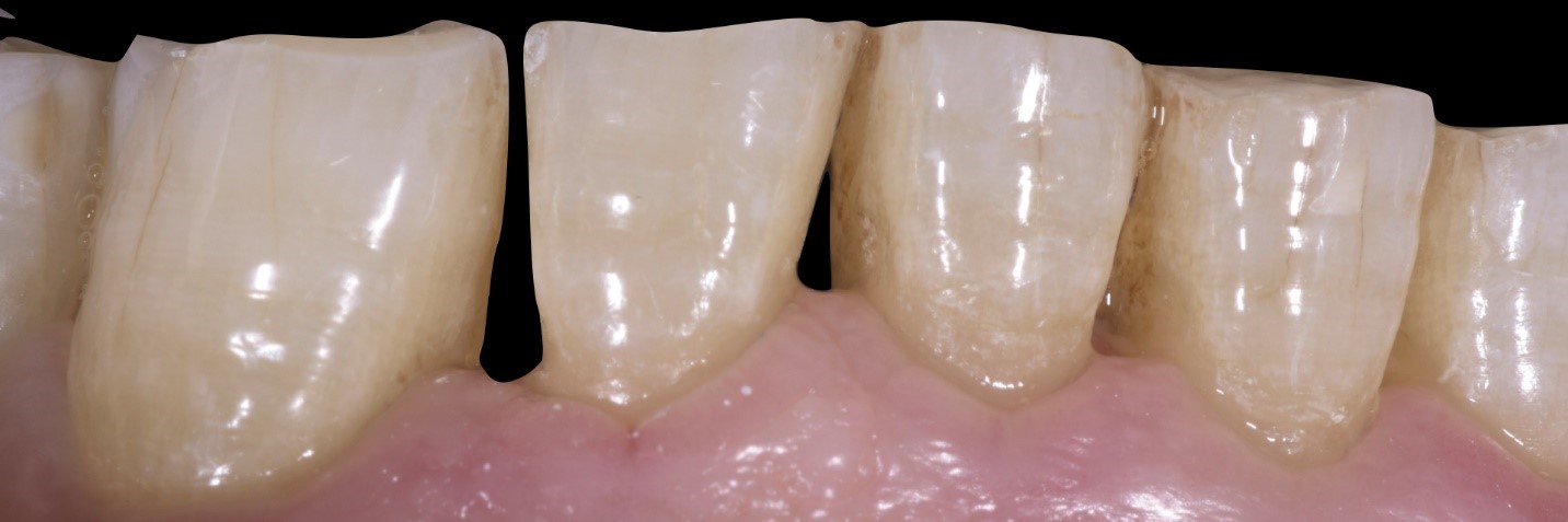
Si noti la quantità di smalto residua che, anche negli elementi dentali maggiormente coinvolti, permette l’impiego di tecniche adesive con minima preparazione dentale ( tecnica MIPP, Minimally Invasive Prosthetic Procedure, by Fradeani Education).

 garrison-roberto-turrini

Fig. 4a e 4b

Gli elementi dentali coinvolti da lesioni cariose vengono precedentemente restaurati con materiale composito, mediante l’utilizzo di anelli e matrici Garrison Dental Composi-Tight 3D-Fusion.

L’apertura degli spazi interprossimali in maniera minimamente invasiva è agevolata dall’uso delle strip abrasive Garrison Dental FitSrip, montate su apposito manico di supporto.

garrison-roberto-turrini

Fig. 5a, 5b e 5c

Mediante le stesse strip abrasive FitStrip, di diversa grana, l’odontoiatra sarà agevolato notevolmente senza dover ricorrere all’uso della fresa in determinati momenti della preparazione minimale.

 garrison-roberto-turrini

Fig. 6

Si noti il grado di apertura dentale interprossimale che determinerà un migliore alloggiamento del restauro ceramico all’atto della cementazione, nonché un’agevole impronta, ottica o tradizionale.

garrison-roberto-turrini

Fig. 7a e 7b

Integrazione dei restauri in disilicato di litio monolitico ( eMax, Ivoclar Vivadent, Odt. Paolo Rossi/Smile Restoration, Cattolica, RN), visti in relazione centrica e in rapporto testa-testa.

 garrison-roberto-turrini

Fig. 8a e 8b

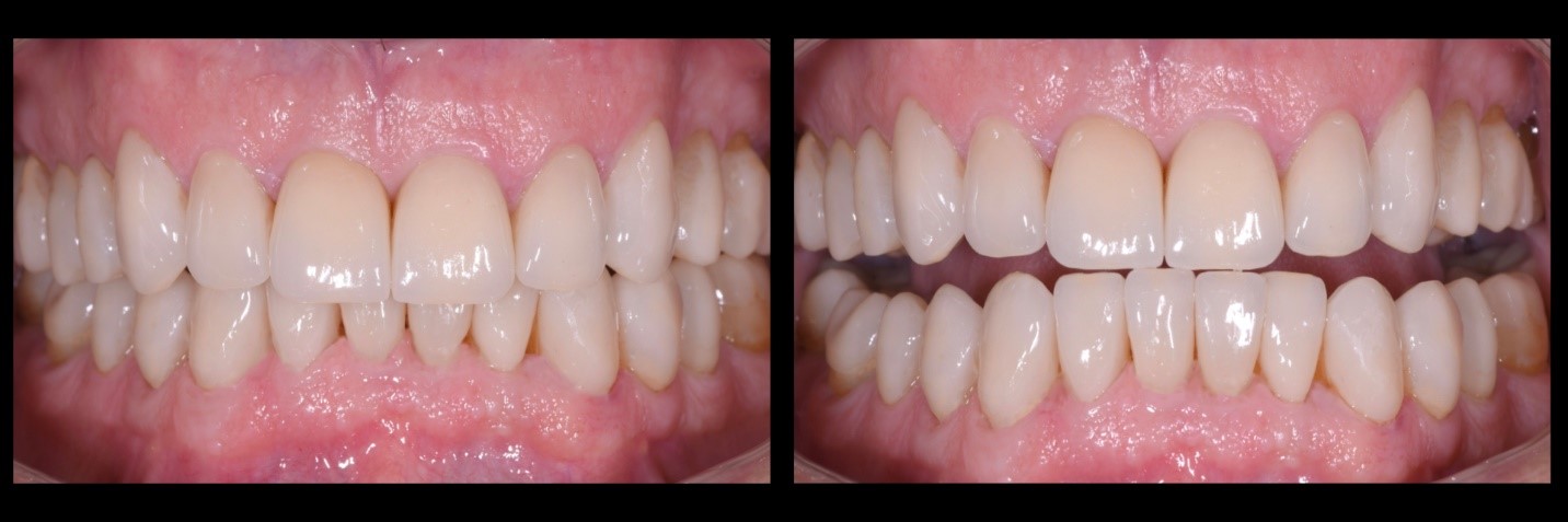
Integrazione dei restauri in disilicato di litio monolitico all’interno del sorriso del paziente in massima esposizione, rispetto alla situazione iniziale.

 garrison-roberto-turrini

Fig. 9a e 9b

Integrazione dei restauri in disilicato di litio monolitico all’interno del viso del paziente, rispetto alla situazione iniziale.

 

 

Autore del caso clinico

Il Dott. Roberto Turrini si laurea in odontoiatria e protesi dentale presso l’Università degli Studi di Firenze nel 2004. Dal 2005 lavora come collaboratore presso lo studio del Dr. Mauro Fradeani a Pesaro. Svolge la sua attività professionale a Pesaro, Firenze e Terni, occupandosi di odontoiatria restaurativa, protesica ed estetica. Autore di articoli su riviste scientifiche nazionali ed internazionali, è co-autore del testo riguardante lo sbiancamento dentale edito da Quintessenza Edizioni nel 2011 (“Sbiancamento dentale: metodi per il successo”), in lingua italiana, tedesca e spagnola. È attualmente al lavoro su un testo riguardante le procedure protesiche minimamente invasive. Collabora con diverse aziende del settore dentale per progetti di ricerca riguardanti materiali da restauro ceramici ed odontoiatria digitale. È socio attivo della IAED (Italian Academy of Aesthetic Dentistry) e partecipa inoltre come relatore a congressi nazionali ed internazionali in tema di protesi fissa ed odontoiatria estetica, in qualità di socio fondatore della Fradeani Education.

Revello - Valori e Competenze per il dentale