
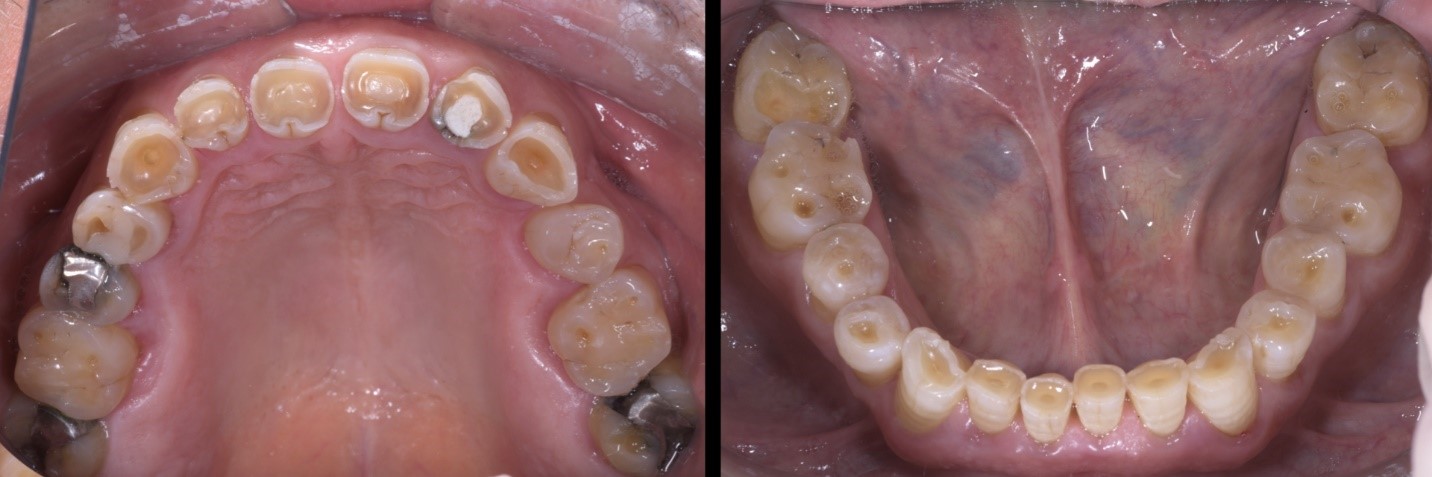
Fig. 1a e 1b
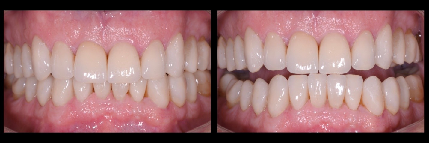
Il Paziente, di anni 69, si presenta alla mia osservazione con forti limiti estetico-funzionali dovuti a dentatura fortemente usurata.
Fig. 2a e 2b
Dopo un attento studio del caso, si opta per una riabilitazione completa con rialzo della dimensione verticale di occlusione. Il rialzo calibrato della DVO viene testato mediante mock-up per un periodo di 2 mesi.

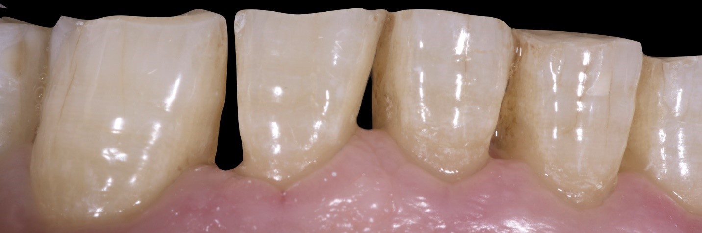
Fig. 3
Si noti la quantità di smalto residua che, anche negli elementi dentali maggiormente coinvolti, permette l’impiego di tecniche adesive con minima preparazione dentale ( tecnica MIPP, Minimally Invasive Prosthetic Procedure, by Fradeani Education).

Fig. 4a e 4b
Gli elementi dentali coinvolti da lesioni cariose vengono precedentemente restaurati con materiale composito, mediante l’utilizzo di anelli e matrici Garrison Dental Composi-Tight 3D-Fusion.
L’apertura degli spazi interprossimali in maniera minimamente invasiva è agevolata dall’uso delle strip abrasive Garrison Dental FitSrip, montate su apposito manico di supporto.

Fig. 5a, 5b e 5c
Mediante le stesse strip abrasive FitStrip, di diversa grana, l’odontoiatra sarà agevolato notevolmente senza dover ricorrere all’uso della fresa in determinati momenti della preparazione minimale.

Fig. 6
Si noti il grado di apertura dentale interprossimale che determinerà un migliore alloggiamento del restauro ceramico all’atto della cementazione, nonché un’agevole impronta, ottica o tradizionale.

Fig. 7a e 7b
Integrazione dei restauri in disilicato di litio monolitico ( eMax, Ivoclar Vivadent, Odt. Paolo Rossi/Smile Restoration, Cattolica, RN), visti in relazione centrica e in rapporto testa-testa.

Fig. 8a e 8b
Integrazione dei restauri in disilicato di litio monolitico all’interno del sorriso del paziente in massima esposizione, rispetto alla situazione iniziale.

Fig. 9a e 9b
Integrazione dei restauri in disilicato di litio monolitico all’interno del viso del paziente, rispetto alla situazione iniziale.
Intrapendenti per natura, curiosi per scelta. Oltre il prodotto: cosa, come e perché.
Ordine minimo
Non abbiamo un ordine minimo. Revello vi permette di ordinare secondo le vostre esigenze e le vostre urgenze.
Consegna
Il trasporto viene normalmente effettuato con corriere espresso entro le 24 ore dal ricevimento dell’ordine, 48 ore per le isole e località disagiate. Il trasporto è gratuito per ordini superiori a € 130,00. Per ordini inferiori a € 130,00 verranno addebitate le spese di trasporto pari a € 9,50.
Contributo spese imballo
È previsto un contributo fisso di € 2,29 per ogni ordine ricevuto. Nel caso di prodotti mancanti, le spedizioni dei materiali in rimanenza non saranno soggette ad alcun contributo con la sola eccezione delle spedizioni contenenti esclusivamente articoli di classe B ordinati su espressa richiesta del cliente.
Installazione attrezzature
I prezzi delle seguenti categorie di prodotto non sono comprensivi del costo dell’installazione e faranno riferimento al listino Assistenza Tecnica Revello: Autoclavi / Termodisinfettori / Vasche ultrasuoni / Att. Per manutenzione manipoli / Demineralizzatori / Laser.
Pagamenti
• Ricevuta bancaria
• Bonifico Bancario
• SDD: addebito diretto in conto corrente
• Contrassegno: fattura immediata con pagamento diretto al corriere
• Carta di credito
Ai nuovi clienti richiediamo pagamento del primo ordine in contrassegno. Vengono considerati nuovi clienti anche coloro che non fanno ordini da più di 12 mesi.